Indikationen
Skeletterkrankungen/Erkrankungen Bewegungsapparat:
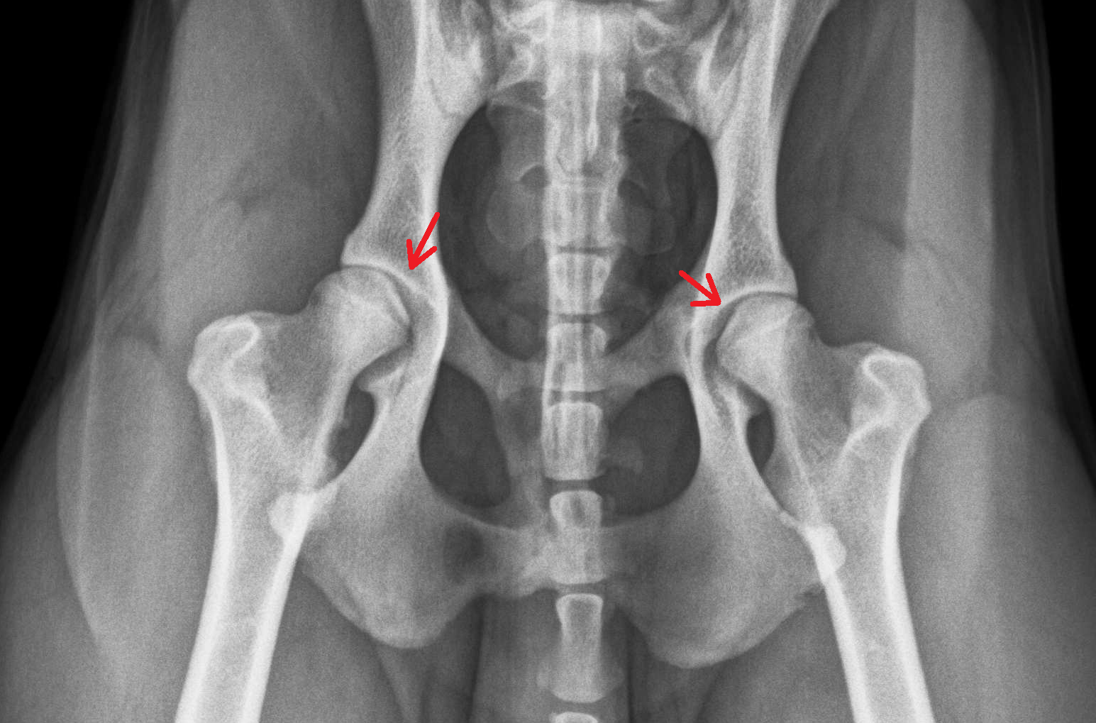
- Hüftdysplasie (HD)
- Spondylose (Verknöcherung der Wirbelsäule)
- Ellenbogendysplasie (ED)
- Kreuzbandriss
- Patellaluxation
Degenerative Erkrankungen (Verschleißerkrankungen):
- Arthrosen
- Gelenkentzündungen
- Rheumatische Beschwerden
Erkrankungen des Nervensystems:
- Lähmungen
- Bandscheibenvorfälle
- Cauda-equina-Kompressions-Syndrom
Rehabilitationsbehandlung nach OP:
- Förderung Wundheilung
- Muskelaufbau/Muskelkräftigung
- Erlangen der prä-operativen Beweglichkeit
Prophylaxebehandlung und Beratung bei Sporthunden:
- richtiges „warm-up“ und „cool-down“
Skeletterkrankungen/Erkrankungen Bewegungsapparat:
- Hüftdysplasie (HD)
- Spondylose (Verknöcherung der Wirbelsäule)
- Ellenbogendysplasie (ED)
- Kreuzbandriss
- Patellaluxation
Degenerative Erkrankungen (Verschleißerkrankungen):
- Arthrosen
- Gelenkentzündungen
- Rheumatische Beschwerden
Erkrankungen des Nervensystems:
- Lähmungen
- Bandscheibenvorfälle
- Cauda-equina-Kompressions-Syndrom
Rehabilitationsbehandlung nach OP:
- Förderung Wundheilung
- Muskelaufbau/Muskelkräftigung
- Erlangen der prä-operativen Beweglichkeit
Prophylaxebehandlung und Beratung bei Sporthunden:
- richtiges „warm-up“ und „cool-down“

